Call Us(905) 553-8897 Or Text/Call: (416) 876-6439
Open 7 Days Mon-Fri: 10 - 6 PM | Sat-Sun: 10 - 4:30 PM
Address 110 - 9901 Keele Street, Maple, ON L6A 0A1
Full Mouth Rehabilitation
Full Mouth Rehabilitation
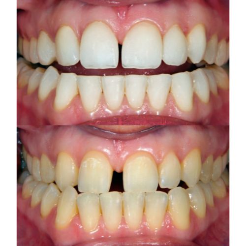
What is a full mouth rehabilitation?
Full mouth rehabilitation is full mouth restoration, where several cosmetic procedures are needed for your smile.
Keele Major Mac Dental team always work together to develop a comprehensive full mouth restoration treatment plan in order to help you achieve a beautiful and functional smile.
When you have issues with teeth such as missing, misalignment, worn down chewing surface, or shifted, a comprehensive full mouth restoration is needed.
Are full mouth rehabilitation treatment plans customized?
Full mouth rehabilitation is a series of comprehensive procedures that require your commitment and cooperation. At Keele Major Mac Dental Centre, we understand that each case is unique and our professional dedicated dental team will work along with you to establish a dental care and treatment regimen designed especially for you.
Who is a candidate for a full mouth customized rehabilitation?
When you have issues with teeth such as missing, misalignment, worn down chewing surface, or shifted, a comprehensive full mouth restoration is needed. Damaged teeth negatively impact your smile and confidence. They can also weaken your chewing ability and create bite imbalances.
Depending on the degree of tooth damages, many cosmetic and restoration options are readily available at Keele Major Mac Dental Centre, such as porcelain veneer, crown, bridge, dental implant, tooth bonding, tooth-coloured fillings, and dentures.
My family and I have been coming here for years. The staff are wonderful & the atmosphere is always warm and welcoming.I am terrified of needles and pain, and had an implant procedure today which I have been putting off for years due to the fear! Dr. Ha & her team went the extra mile to make sure I had a pleasant experience despite my fears. She put on relaxing music to help me calm down & stay relaxed during the entire procedure and constantly made sure I was doing okay.
I highly recommend Dr. Ha if you are looking for a new dental professional to take care of your teeth & make you smile.
Alanda T.
★★★★★
I had very crooked teeth and went to few dentists to ask about options to straighten my teeth. My aunt told me to come here and I came to check out. The receptionist was very nice, helpful, and knowledgeable. She helps me feel at ease because I am scared of the dentists. To my surprise, Dr. Ha is a very fun and friendly dentist. She spent lots of time and explained in details what I need to do to take care of my teeth during the time I wear braces. I was so scared when I had to remove my four teeth in order to resolve my crooked teeth. Dr. Ha did it so fast, no pain and I was very comfortable with her. Dr. Ha also placed braces on my teeth and now I have beautiful straight teeth, done earlier than I expected and I am so thankful that she is my dentist.
I strongly recommend all the clients I meet at my work place to see her for any dental treatment they need. Dr. Ha is truly a five star dentist with her exceptional skills, profound depth of knowledge and a great sense of humour. I highly recommend her. 😉😉😉
Nhut L.
★★★★★
This dental centre has longer operating hours then most clinics in Vaughan which accommodate to my availabilities. The dentist and their associate are very nice and knowledgeable in their work of specialty. The staff at the dental centre are very professional and welcoming. They take on new clients and they have appointments after 6 p.m on weekdays.
I recommend all families and neighbours to give this dental centre a chance to work on your teeth if you live in this area of Vaughan.